The human body is a very complex machine ... Sometimes strange things can happen and we discover it by accident. This is particularly the case here: a 63-year-old man went to a New York emergency department for left knee pain after falling ill. Leaving the hospital, the man ended up with an alarming and rare diagnosis: ossification of the penis.
The doctors found this case extremely rare when they performed a radiograph of the pelvis, in order to look for signs of bone fracture. But instead, they spotted a bone-like calcification in a most unexpected place ...
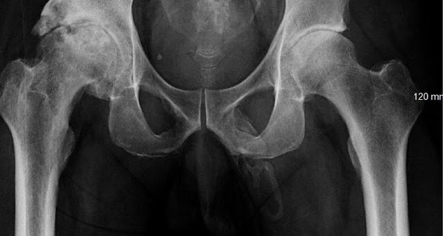
Calcium salts have accumulated in soft tissues and have hardened to form an "extended plaque" along the penis stem, as you can see on the radiograph below:
![]() |
| Credits: Hasbani et al./Urology Case Reports, 2019 |
Except for some pain, the patient has no other symptoms of this condition in the form of discharge or swelling. According to the doctors, ossification of the penis can cause a loss of flexibility and also cause erectile problems. But before the doctors could do further examinations, including to determine the cause of this ossification, the man decided to leave ignoring all the medical advice he had received from the doctors ...
Known that penis ossification was first described in humans in 1827. However, it remains rare, with fewer than 40 cases documented so far.
The most common cause is Lapeyronia Disease, a fibrosis affecting the penis. Ossification may also be due to trauma, end-stage kidney disease or other diseases that cause excess calcium in the body.
Georges El Hasbani of the American University of Beirut and his colleagues, explain the treatment of penis ossification in their case report, published in the journal Urology Case Reports. "The treatment of penis ossification depends on the extent of body ossification and the patient's symptoms."
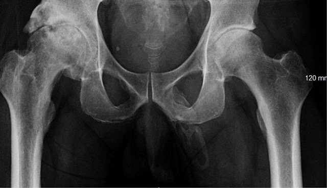
![]() |
| Credits: Hasbani et al./Urology Case Reports, 2019 |
The case involving an uncomfortable acute pain or mild chronic pain can be managed with oral analgesics, topical agents, intralesional injections, mechanical stretching or vacuum devices, and extracorporeal shock wave therapy. Serious cases of extreme chronic pain or erectile dysfunction are usually treated surgically," they added.
Ossification of the penis is usually seen in older dogs, however, dogs already have a bone in their penis at first. In fact, this is the case for most mammal species.
Doctors explain that: "The human body is able to form bone tissue or cartilage in places affected by pathologies, when connective tissue is present. Bone tissue is known to form even in places that have nothing in common with the skeleton, including the mammary gland, salivary glands and testicles".
Source
Tags:
Unusual



Hello, this is fastidious post I actually loved reading this.
ReplyDeleteTechnology Porn
This is my very first time that I am visiting here and I’m truly pleasurable to see everything at one place.
ReplyDeleteTechnology Porn
At the point when I gave the Interior Medication inhabitant doctor classified data on two off-name sedates that I take, that act would be closely resembling a planned customer moving toward a legal advisor with realities about his case to check whether the attorney will help him. gastro doctor Lahore
ReplyDeleteBecause of mans avid enthusiasm to know the various techniques of penis enlargement, the market becomes saturated with different products which manufacturers claim to be potent enlargement products.Kamagra Bestellen
ReplyDeleteNobody can reject the info you have given in the blogs, this is actually a great work.
ReplyDeleteKamagra 100MG
Sildenafil Citrate is you best way to get stiff erection. Get the blue pill from tuminaropharmacy.com
ReplyDeleteGirls experiencing troublesome stretches in their sexual lives might benefit from taking Lovegra 100mg. The prescription has reestablished sexual existences of a lot of women over the globe. Whenever fertile organ of girls becomes heartless, it turns into an obstacle in women sexual life. Ladies' advantage from sex likewise begins blurring. For treating this condition, the admission of Lovegra is projected. This oral medication consists of virility drug turn. It treats coldheartedness of the sexual organ in women and liberates them from sexual blues. The medication additionally develops blood supply to the canal region, which erases coldheartedness. Lovegra may be a viable medication and its impact keeps going for almost 5 hours. Due to its pink color, Lovegra is also known as pink medication.
ReplyDeleteThese are the great blogs; I assure you that I really enjoyed a lot in reading.
ReplyDeleteOnline sex adult live chat
Since LASIK is a surgery, there is consistently a specific level of chance included. https://www.visualaidscentre.com/lasik-surgery-in-faridabad/
ReplyDeleteCenforce 25 is an over-the-counter medicine. To purchase this medicine from a pharmacist, you must have a prescription from your doctor. This medication is used to treat male erectile dysfunction. It increases blood flow to the penis, allowing it to erect. It is part of a class of medicine called phosphodiesterase type 5 inhibitors (PDA5).
ReplyDeleteBuy ED Medicines Here:
Vilitra 60
Silditop 100
Snovitra 20
It contains a lot of flavanols, which increase blood flow in the body. Higher blood flow is necessary for good heart and brain health, as well as for a healthy erection. If you want a natural treatment, consider taking a prescription medication like Cenforce 25 or Cenforce professional, which increases blood circulation in the pelvic region. However, if you prefer to avoid pills, a chocolate-rich diet may be a more effective way to treat erectile dysfunction.
ReplyDeletePrestashop is one of the essential eCommerce CMS stages accessible today. Famous as the key brand, it assists with building unbelievable objections. You can, without an entirely momentous stretch, make your site outstanding through the layouts that are clear for your business. The topic keeps up with PHP and MySQL programming lingo.
ReplyDeleteThese subjects offer a default plan with modules, pictures, and documentation that you can use to plan the association and make a site in your preferred manner. Some prestashop theme are uncommonly valuable to additionally foster the change rate for your web business stores. The multifunctional programming helps with adding any value that you yearn for a central to the best in class eCommerce site.You can buy the prestashop theme by Themevolty .These subjects are incredibly easy to endlessly change, as indicated by your prerequisites for your eCommerce site. You can actually plan and execute these topics, considering the way that Prestashop is an open-source stage.
Buy Black Viagra pills Cenforce 200mg | Sildenafil Citrate - Cenforcepills
ReplyDeleteAbout Cenforce 200 mg
black viagra pills cenforce 200mg, otherwise called Sildenafil Citrate 200 is a powerful prescription that is utilized to treat Erectile Brokenness (ED) or feebleness in men. It is an FDA-endorsed medication having a place with the class PDE5 inhibitors.
What is Cenforce 200 mg?
The Cenforce 200mg erection pills are accessible in three strengths. They all contain Sildenafil which is like Viagra as they contain the substance Sildenafil. The distinction among these tablets is easy to fathom. The lighter variation, otherwise called Cenforce 100mg, otherwise called the blue Cenforce 100mg, it has a functioning element of Sildenafil Citrate present in the strength of 200 mg.
Utilization of Cenforce 200 mg pills
This medication treats erectile brokenness (ineptitude). Erectile brokenness is a sexual problem in guys who can't accomplish a sufficiently hard erection for sex.
Cenforce Pills, as a PDE 5 inhibitor, restrains the PDE 5 compounds that make the penis limp. It expands veins, expanding the blood stream to the penile region.
Among the advantages of Cenforce 200mg are:
The most noteworthy dynamic fixing content is sildenafil citrate 150 mg red pill for the most massive impact
• fast beginning of activity (30-an hours)
• the impact can keep going for a few hours of intercourse
• expanded endurance and execution
• can be bought online with no solution required
Instructions to take the medication
To painstakingly seek the best from your treatment, if it's not too much trouble, read the accompanying:
• the safe showed a portion of Cenforce 200 in something like 24 hours is 200 mg (1 tablet)
• start with more modest portions (100 mg) and increment if vital
• continuously take the medication with a huge glass of water
• impacts might be recognizable following 30-an hour
• powerful treatment time is as long as 6 hours
Buy Cenforce 100 (Sildenafil) Online - Cenforcepills
ReplyDeleteWhat is Cenforce 100 (Sildenafil Citrate)?
Cenforce 100 is a remedy-based drug for the treatment of Erectile Brokenness (ED) or feebleness in men.
Sildenafil Citrate is the dynamic fixing present in the medication.
Sildenafil treats barrenness by decreasing the working of Phosphodiesterase type-5 (PDE5), a normally happening compound in the penile locale.
Utilizations of Cenforce 100
• As referenced above, Cenforce 100 tablets treat Erectile Brokenness (barrenness).
• ED is male sexual brokenness wherein men can't accomplish an erection firm enough for sexual activity.
• This medication is a PDE 5 inhibitor that blocks the PDE 5 chemicals liable for penile laxity.
• It further develops the bloodstream to the penile region by loosening up veins.
• Note: This medication will just work on sexual excitement.
Step-by-step instructions to take the Suhagra (Sildenafil Citrate and Duloxetine Hydrochloride):
Suhagra portion ought to be taken at a proper time as coordinated by your primary care physician. Swallow the tablet with water without biting or pounding it. It is constantly encouraged to take it with food to stay away from stomach upset.
Utilization of Super P Force
• Super P Force for treating Erectile Brokenness and Untimely Discharge in men.
• It is otherwise called 'Barrenness,' this brokenness makes it hard to get or keep an erection while having intercourse.
• This medication likewise treats PE. In this situation, men discharge before they expect while participate in sexual activity.
|| Buy Cenforce D Online in chipset Price ||
ReplyDeleteCenforce D Tablet Portrayal:
• https://www.cenforcepills.com/product/cenforce-d/ Tablet is a blend of two medications: Sildenafil and Dapoxetine which treat male erectile dysfunction and untimely discharge. Sildenafil is a phosphodiesterase type 5 (PDE 5) inhibitor that works by expanding the bloodstream to the penis during sexual feeling and empowers its erection following sexual excitement. Dapoxetine is a specific serotonin reuptake inhibitor (SSRI) that expands the degree of serotonin in nerves to build the opportunity to discharge and further develop command over-discharge.
Utilizes:
• Cenforce Tablet is utilized in the treatment of untimely discharge.
Aftereffects:
• Queasiness, Heaving, Acid reflux, Dryness in the mouth, Cerebral pain, Flushing (feeling of warmth in the face, ears, neck, and trunk), Discombobulation, and Nose drain.
About
• Sildigra 100 MG Tablet contains Sildenafil. It is otherwise called the blue pill. It is a viable medication utilized for the treatment of erectile dysfunction (ED) in men. Erectile dysfunction is a condition where a man can't accomplish as well as keep an erection sufficient for sex. This happens as a result of diminished bloodstream because of actual wounds and certain ailments, or because of a few mental circumstances like tension, stress, sadness, and so forth.
Depiction
• Tadacip 20 MG Tablet can be taken regardless of food. The portion and term of treatment are still up in the air by your primary care physician in light of your clinical condition. For erectile Dysfunction Tadacip, 20 MG Tablet ought to be required no less than 30 minutes before sexual movement. This medication will assist you with getting/keeping an erection provided that you are physically invigorated. Try not to take more than the suggested portion.
• Tadacip Tablet isn't suggested for use assuming you are sensitive to it. Illuminate your primary care physician if you have liver, heart, or kidney issues, or on the other hand assuming you are taking some other prescriptions.
Here is a fast and simple read on catchphrase research for article showcasing. It is astounding the number of authors on the Web that don't matter it to their posts. The principal thing we maintain that should do with GIF Compressorresearch is to track down a specialty. A specialty is the primary subject of our article or site.
ReplyDeleteYou can only get the best iphone 11 back cover in India on zapvi.In addition to the print, there are a few other factors to take into account, such as protection, design, and material.
ReplyDeleteEine Videokonferenz ermöglicht es zwei oder mehr Teilnehmern an verschiedenen Orten, in Echtzeit über Audio- und Videokommunikation zu kommunizieren. Ein videokonferenzsystem unterscheidet sich von einer klassischen Telefonkonferenz dadurch, dass es der Visualisierung der Gesprächspartner eine visuelle Komponente hinzufügt.
ReplyDelete